
2025/07/21 8:23
子宮内膜症が胸膜や横隔膜に広がると、月経周期に伴い気胸を繰り返すことがあり、診断・治療には呼吸器外科と婦人科の連携が重要です。

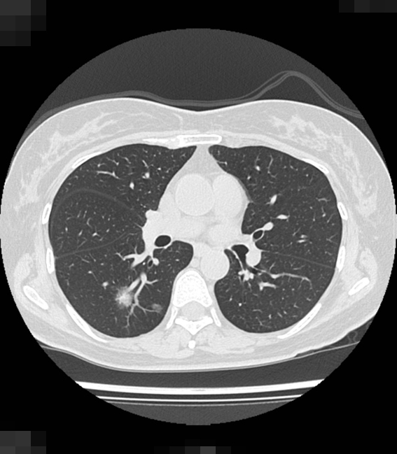
2024/07/25 8:23
肺がんは年間7万5585人が死亡し、特に「肺腺がん」はタバコを吸わない人にも多いです。早期発見が難しく、CT検査が推奨されます。アジア人では遺伝子の個人差がリスクに影響します。
40歳を過ぎたら一度はCTを撮ってみてはいかがでしょうか。

2024/07/25 8:07
肺がんは国内で年間約7万6000人が死亡し、受動喫煙がリスクを高めます。特に女性や子供に深刻な影響があり、妊娠中の受動喫煙は胎児や乳幼児に悪影響を及ぼします。受動喫煙の健康被害を防ぐため、完全禁煙が推奨されます。

2023/07/29 11:59
喘息には性差があり、女性では気道過敏性が亢進しやすく、月経や妊娠で悪化する傾向がある。重症喘息では女性が増加し、アスピリン喘息も多い。治療には注意が必要。

2023/07/14 23:55
COPDの性差について、喫煙が主要な要因であり、女性は男性に比べてより重症化しやすいことがわかっています。女性の方が喫煙の悪影響を強く受け、有害物質の体内吸収量が増加し、肺機能の低下が大きいと報告されています。禁煙の効果も性差があり、肺機能の改善は女性の方が大きい一方、症状の改善は男性の方が大きい傾向があります。女性では吸入療法の誤使用が多く、治療効果が低いと報告されています。呼吸リハビリテーションでは男性の方がより効果があるとされています。女性のCOPDではうつ病の合併が多く、治療効果の低さに影響している可能性が指摘されています。在宅酸素療法においては女性の予後が良好と報告されています。COPDは女性にとっても厄介な病気であり、早期の検査や適切な治療が重要です。

2022/08/13 13:21
喫煙をしている女性はもちろんのこと、タバコを吸ったことのない女性でも、初潮から閉経の時期が長い(36年以上)、あるいは外科的手術により閉経した経験のある方は、一度はぜひ「肺がん検診」を受けることを推奨します。

2022/07/14 13:21
新型コロナウイルス感染症はすでに第7波に入りました。重症患者さんは明らかに減っており、恐怖を抱く人々も減っています。しかし、第6波で後遺症を訴える人が確実に増えています。若い世代では、学校に行けなくなったり、仕事ができなくなったりと、毎日の生活に大きな支障を受けている人たちがSNSで訴えています。今回の第7波もたいへん心配な状況です。

2021/12/01 13:21
新型コロナワクチン接種後のアナフィラキシーです。米国でのデータによれば、新型コロナワクチン(mRNA型であるファイザー社製およびモデルナ社製)接種後のアナフィラキシーは、高齢者を除く女性にほぼ限って生じています。64歳以上では男女ともゼロでした。この性差、年齢による差はなぜなのか。

2021/11/03 13:21
このコロナ禍の中、ストレスにより「喫煙を始めた」あるいは「禁煙していたのにまた喫煙を始めた」「喫煙量が増加した」という人が増えているように感じておりますが、皆様の周りはいかがですか?

2019/11/08 13:21
検診で胸部レントゲン検査上異常陰影を指摘され、「感染症であり、結核菌の仲間だが人にはうつさない」といわれる場合があります。結核菌の仲間で結核とは違うといわれるのは、非結核性抗酸菌と呼ばれる菌で土壌や水中、食物、動物(家畜を含む)などの自然環境に広く存在しています。結核菌は人に寄生する細菌(結核菌自身は環境中では生存できない)で、人から人に感染しますが、非結核性抗酸菌はもともと土や水など人間の身近な環境に生息していて、人から人に感染することはありません。この菌に感染して起きる非結核性抗酸菌症は昔から存在した病気だと思われますが、結核に似た症状・病態だったので、結核が多かった時代には混同して考えられていました。しかし、結核菌とよく似ているが別の病原菌を原因とする病気であることが分かり、40年ほど前から「非定型抗酸菌症」と呼ばれるようになりました。近年は「非結核性抗酸菌症」という呼び方が一般的になり、次々と新しい非結核性抗酸菌が発見され、罹患率も増加しています。その中で、わが国で多いのが、Mycobacterium avium complex菌による肺MAC症と呼ばれるもので、気管支を中心に病変を作るこの肺MAC症が最近わが国の女性に急増しているのです。最初に記したようにこの病気は結核症と異なり伝染病ではありませんが、薬が効きにくく、なかなか治りにくい病気なのです。

2010/08/01 12:00
肺がんを対象とした研究では、女性の方がタバコ煙に含まれる発がん物質の影響を受けやすく、男性より少ない喫煙量でもがんを発生しやすい可能性が明らかになりました。こういった事実は喫煙感受性において性差の存在を疑わせます。

2010/07/01 12:00
近年やせたい、もっときれいになりたいという理由で、喫煙に走る若い女性がアジアで急増しています。ところが、タバコを持っているだけで、逆に非魅力的に捉えられてしまうことがこの研究で明らかになりました。タバコは、健康を害するだけでなく、女性が本来持っている、美しさの根本の、「若さ」や「女性らしさ」を心理学的に奪ってしまいます。

2009/06/01 12:00
日本でのLAMの有病率は100万人あたり約1.2~2.3人と推測されています。ほぼ女性に限って発症し、妊娠可能な年齢の若い女性に発症します。30歳前後で病気に気づくことが多いのですが、閉経後の方に別の病気の検査中に偶然診断されることもあります。

2009/03/01 12:00
慢性閉塞性肺疾患(COPD:chronic obstructive pulmonary disease)が、女性の間で急増し、問題になっていることをご存知でしょうか?


2008/07/01 12:00
女性肺がんの急増、女性と喫煙、女性肺がんと遺伝子・性ホルモン、女性肺がんとゲフィチニブ、女性肺がんと化学療法・緩和ケアそして女性肺がんとCT検診などについて解説します。
コメント欄を読み込み中